Jaevi Medical AI Services
Precision-Driven
Expert-Crafted
Medical Data Annotations for
AI Excellence

Reliable Medical Data Annotation Service Provider
With our deep understanding of radiological practices, we ensure that every annotation is crafted with precision and clinical relevance, empowering healthcare professionals to make informed decisions.
At Jaevi Medical AI Services, we prioritize collaboration, leveraging our radiologist's expertise to deliver a product that not only meets but exceeds industry standards. As we bridge the gap between technology and healthcare, we’re committed to supporting advancements in medical research, education, and diagnostics.
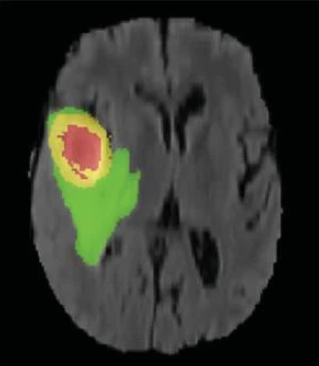
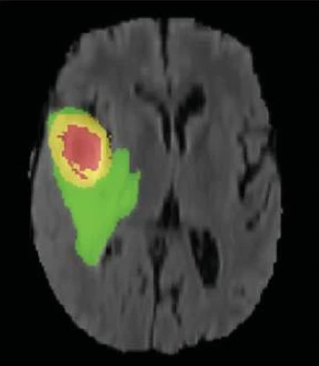
Our medical data annotation service delivers high-quality, precise annotations by expert radiologists, ensuring accurate labeling of imaging data for various applications.
Expert Radiologists: Our team comprises highly qualified radiologists with extensive experience in medical imaging and data annotation, guaranteeing reliable results.
High Precision: We utilize advanced techniques and rigorous protocols to ensure the utmost accuracy in every annotation, tailored to meet the specific needs of your project.
Comprehensive Services: We offer annotation for a wide range of imaging modalities, including X-rays, MRIs, CT scans, and ultrasounds, covering various medical conditions.
Affordable Pricing: We believe in accessible healthcare solutions; our services are competitively priced without compromising quality, making it feasible for organizations of all sizes.
Rapid Turnaround: We prioritize efficiency and aim to deliver annotated data promptly, allowing you to stay on schedule with your projects.
Custom Solutions: We work closely with clients to provide customized annotation services that align with specific research or development goals.
Quality Assurance: Our rigorous quality control processes ensure that every dataset meets the highest standards for accuracy and reliability.
Experience the perfect blend of expertise, precision, and affordability with our medical data annotation service, designed to empower your research and development in healthcare.
Join us on our journey to revolutionize medical imaging annotation—where precision meets compassion.




Expert Radiologist Team
Our team of radiologists ensures top-notch quality control for all medical data annotation services.
Specialized Radiology Annotation Services
Dedicated to providing accurate and detailed annotations in radiology imaging for AI projects.
